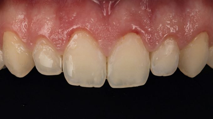
Bele mrlje na zubima su čest estetski problem koji mnogim pacijentima narušava samopouzdanje. Iako su bezopasne, ove mrlje mogu delovati kao znak nezdravih zuba ili loše higijene, čak i kada to nije slučaj. Dobra vest je da danas postoji savremeno rešenje Icon tretman, koji omogućava uklanjanje belih mrlja bez bušenja zuba i bez bola.
U nastavku saznajte kako nastaju bele mole, zašto su problematične i kako ih trajno ukloniti uz pomoć Icon infiltracije.


Zašto nastaju bele mrlje na zubima?
Bele mrlje nastaju kada dođe do dekalcifikacije (gubitka minerala) u gleđi. To može biti rezultat:
- Početnih faza karijesa, kada bakterije počinju da razgrađuju gleđ,
- Loše oralne higijene tokom nošenja fiksne proteze,
- Prekomernog unosa fluora u razvoju zuba (fluoroza),
- Genetskih faktora ili bolesti u detinjstvu koje ometaju razvoj gleđi.
Mrlje su često najvidljivije na prednjim zubima, naročito kada se osmehujemo, i ne mogu se ukloniti standardnim izbeljivanjem ili poliranjem.
Šta je Icon tretman?
Icon tretman je inovativna, minimalno invazivna metoda koja koristi specijalnu smolu (infiltrant) da prodre u poroznu gleđ i popuni oštećene delove bez potrebe za bušenjem ili uklanjanjem zdravog zubnog tkiva.
Kako izgleda procedura:
- Površina zuba se priprema blagim gelom koji otvara mikrostrukturu mrlje.
- Specijalna smola se infiltrira u oštećeni deo gleđi.
- Smola se stvrdnjava svetlom i polira do prirodnog sjaja.
Rezultat je ujednačena boja zuba bez oštećenja i bez potrebe za plombom.

Prednosti Icon tretmana
- Bez bušenja i brušenja – čuva maksimalno prirodno zubno tkivo.
- Bez bola – postupak je potpuno bezbolan, bez potrebe za anestezijom.
- Brz postupak – tretman se završava u jednoj poseti.
- Prirodan izgled – zub dobija ujednačenu boju, bez mrlja i diskoloracija.
- Dugotrajan efekat – uz pravilnu higijenu i redovne kontrole, efekat može trajati godinama.
Ko je idealan kandidat za Icon tretman?
Icon tretman je savršen za pacijente koji imaju:
- bele mrlje nakon skidanja fiksne proteze,
- bele fleke od početnog karijesa bez kaviteta,
- fluorozu (blaži i srednji oblici),
- estetske nepravilnosti na prednjim zubima.
Za tačnu procenu, neophodan je pregled stomatologa koji će utvrditi da li su mrlje pogodne za infiltraciju.

Da li su rezultati trajni?
Rezultati Icon tretmana su dugoročni, ali kao i kod svake stomatološke terapije, trajanje zavisi od:
- redovne i pravilne oralne higijene,
- izbegavanja prekomerne konzumacije pigmenata (kafa, čaj, crno vino),
- redovnih stomatoloških kontrola.
U većini slučajeva, uz pravilnu negu, efekti traju godinama bez potrebe za ponavljanjem.
Zaključak
Bele mrlje na zubima ne moraju biti trajna estetska smetnja. Icon tretman omogućava brzo, bezbolno i dugotrajno rešenje bez oštećenja gleđi. Ako imate bele fleke koje vas ometaju u svakodnevnom osmehu, ovaj tretman je odlična opcija za vas.
U našoj stomatološkoj ordinaciji u Beogradu, primenjujemo Icon tretman koristeći najnovije metode i materijale. Zakazivanje pregleda je brzo i jednostavno, a u toku konsultacije ćemo vas detaljno informisati da li je Icon prava terapija za vas.
Kontaktirajte nas i vratite svom osmehu ujednačen i zdrav izgled – bez bušenja i bez bola.
