Stomatološka protetika je grana stomatologije koja se bavi nadoknadom izgubljenih zuba pomoću različitih tehnika, materijala i nadoknada.
Dve velike grane stomatološke protetike jesu: mobilna protetika i fiksna protetika.U okviru mobilne protetike izrađuju se različite vrte proteza koje pacijent može sam da skine.Pod fiksnim protetskim radovima se podrazumevaju krunice i mostovi fiksirani na zube ili implantate.
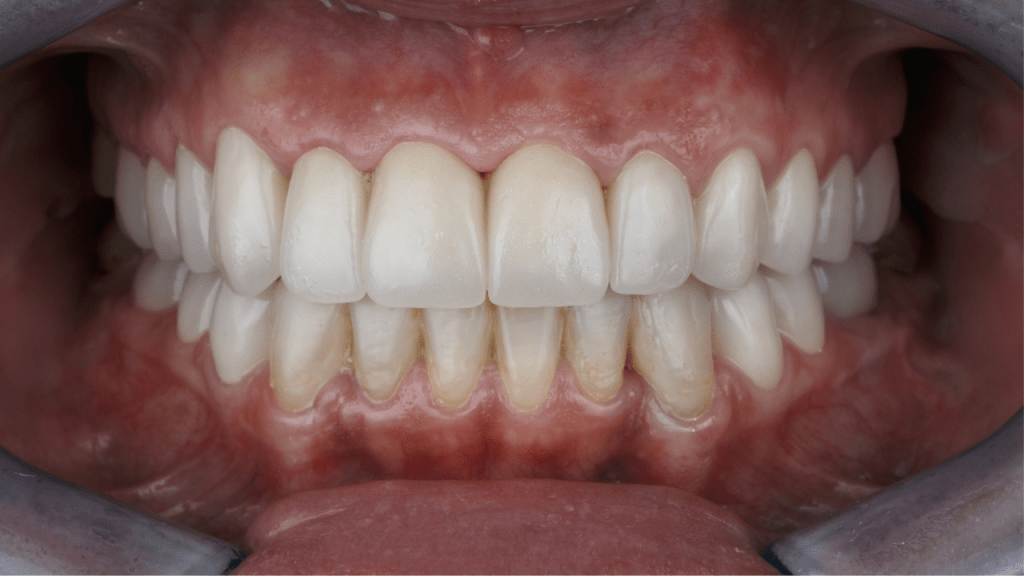
Keramičke Krunice
Cirkonijum keramičke krunice ili mostovi su najsavremenije rešenje sa izuzetnim estetskim mogućnostima. Najlepše i najprirodnije krunice su upravo od cirkonijum keramike. Kao potpora krunice umesto metala koristi cirkonijum. Cirkonijum je jedan od najtvrđih materijala i prvenstveno se upotrebljava u svemirskim tehnologijama. Cirkonijumske krunice se mogu izraditi i na zubima, ali i na implantatima.

Metalo-keramičke Krunice
Kada su krunice u pitanju, metal-keramika je kroz istoriju stomatologije oduvek prednjačila u primeni.
U osnovi metal, a preko se nanose slojevi keramike.
Njima se na većoj rasprostranjenosti dodaje to što su starije i što su mnogo češće birane kao podrazumevana vrednost.
Većina krunica ovog tipa služi kao funkcionalni zub, ali se i estetikom uklapa među postojeće zube. I one se mogu izraditi i na zubima i na implantatima.

Viniri / Fasete
Tanke ljuspice izrađene od različitih materijala koji se adaptiraju na prednju površinu zuba. Pomoću njih se može korigovati boja, oblik i veličina zuba. Viniri se izrađuju od keramike koja je izuzetno otporna i čvrsta u vrlo tankom sloju, pa je jedna od glavnih prednosti vinira u odnosu na krunice ta što se za njihovu izradu minimalno uklanja zubna supstanca.

Totalne Proteze
Totalna proteza predstavlja protetsku nadoknadu koja se izrađuje kod bezubih pacijenata, odnosno u situacijama kada u vilici nema nijednog zuba.Totalna proteza naleže na desni, pokriva alveolarni greben i nadoknađuje izgubljene zube.Ove nadoknade se najčešće izrađuju od akrilata, a na njih se takođe postavljaju zubi izrađeni od istog materijala.

Parcijalna Proteza
Parcijalna pločasta proteza i parcijalna skeletirana proteza predstavljaju protetske nadoknade kojima se nadoknađuju izgubljeni zubi, a fiksiraju se za preostale zube pomoću kukica ili atečmena.Primenjuje se kao nadoknada kod krezubih pacijenata.Parcijalna proteza naleže na desni, pokriva alveolarni greben i nadoknađuje izgubljene zube.

Proteza Na Mini Implantima
Mini implantati su idealno rešenje za pacijente koji:
Žele finansijski pristupačniju proceduruNose mobilne proteze koje su nestabilne: Proteze na mini implantatima pružaju mnogo veću stabilnost u poređenju sa klasičnim protezama koje se oslanjaju samo na pritisak desni.Imaju smanjenu koštanu masu u vilici: Pacijenti sa tankom ili oslabljeno koštanom strukturom često nisu kandidati za standardne implantate bez dodatnih zahvata, kao što je ugradnja veštačke kosti. Mini implantati mogu biti rešenje jer zahtevaju manje kosti za postavljanje.

Proteze Na Implantima
Proteze na implantima predstavljaju terapiju izbora kod bezubih pacijenata koji imaju poteškoća u stabilizaciji njihovih proteza, problem sa žvakanjem, koji su gadljivi na proteze, a jednostavno ne mogu i ne treba da budu bez njih.
Ova kombinacija osigurava da proteza u donjoj vilici ne šeta, daje sigurnost u žvakanju hrane, ali i u estetici.Proteze na implantatima postaju sve češći izbor naših pacijenata.

All on 4 / All on 6
Tehnika ugradnje implanata i izrade fiksnog protetskog rada kod totalno bezubih vilica.
Koncept je osmišljen za rešavanje kompleksnih slučajeva totalne bezubosti kada klasična rešenja ne mogu da pomognu.
All On 4/6 koncept se primenjuje kod osoba koje nemaju dovoljan kvalitet vilične kosti (debljina, širina, visina, gustina, veliki sinusi…) za postavljanje šest i više implanata pod pravim uglom, što je standardna implantska procedura.

U slučaju All on 6 rada postavlja se šest implanata po vilici, a u slučaju All on 4 rada, četiri implanta po vilici.
Nakon ugradnje implantata potrebno je 3 meseca da se oni u potpunosti vežu sa kosti.
Par dana po postavljanju implanata pacijent dobija privremeni plastični fiksni rad koji je ušrafljen na implante, i taj rad će nositi sve do dobijanja definitivnog rada.
Nakon najmanje 3 meseca, pacijent ponovo dolazi u ordinaciju kako bi bio izrađen definitivni protetski keramički rad.




