Bele plombe, poznate i kao kompozitni ispuni, postale su standard u savremenoj stomatologiji zbog svoje estetske prirode i funkcionalnosti. Ako razmišljate o ugradnji belih plombi ili želite saznati koliko one traju i kako se pravilno održavaju, ovaj tekst pruža sveobuhvatne informacije o njihovoj trajnosti, prednostima i najboljim praksama za očuvanje.
U našoj stomatološkoj ordinaciji , bele plombe izrađujemo i postavljamo koristeći najsavremenije materijale i tehnike, kako bismo osigurali vrhunski kvalitet i dug vek trajanja.
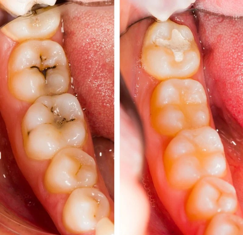
Šta Su Bele Plombe?
Bele plombe su ispuni izrađeni od kompozitnog materijala, specijalno dizajnirane da se estetski uklope u boju prirodnih zuba. Njihova glavna uloga je obnova oštećenih zuba usled karijesa ili traume, ali i poboljšanje estetskog izgleda zuba. Za razliku od amalgamskih plombi, koje sadrže metale, bele plombe su potpuno bezbedne i biokompatibilne.

Ključne karakteristike belih plombi:
- Estetski savršene: Prilagođavaju se prirodnoj boji zuba.
- Višenamenske: Koriste se za popravku karijesa, fraktura zuba, pa čak i za zatvaranje razmaka između zuba.
- Minimalno invazivne: Za njihovo postavljanje potrebno je ukloniti minimalnu količinu zubnog tkiva.
Koliko Dugo Traju Bele Plombe?
Bele plombe imaju prosečan vek trajanja od 5 do 10 godina, ali uz pravilnu negu i održavanje, mogu trajati i duže. Njihova trajnost zavisi od više faktora, uključujući tehniku postavljanja, oralne navike i vrstu kompozitnog materijala koji se koristi.
Faktori koji utiču na trajnost belih plombi:
- Veličina plombe: Manje plombe traju duže jer trpe manje opterećenje tokom žvakanja.
- Lokacija u ustima: Plombe na zadnjim zubima (molari) izložene su većem pritisku i habanju.
- Tehnika postavljanja: Kvalitet rada stomatologa ključan je za dugotrajnost plombe.
- Oralne navike: Škripanje zubima (bruksizam) i žvakanje tvrde hrane mogu skratiti vek trajanja.
- Održavanje oralne higijene: Redovno pranje zuba i korišćenje zubnog konca sprečavaju oštećenje plombe.
Prednosti Belih Plombi
Bele plombe su popularan izbor među pacijentima i stomatolozima zbog brojnih prednosti:
1. Estetski izgled
Bele plombe se prilagođavaju boji zuba, pružajući prirodan izgled osmeha. Ovo ih čini idealnim izborom za prednje zube.
2. Bezbednost
Kompozitni materijali su potpuno bezbedni i ne sadrže živu, za razliku od amalgamskih plombi.
3. Minimalno invazivna procedura
Za postavljanje belih plombi potrebno je ukloniti samo oštećeni deo zuba, čime se čuva zdravo tkivo.
4. Prilagodljivost
Bele plombe se mogu koristiti za različite svrhe, uključujući restauraciju zuba, estetske korekcije i zatvaranje razmaka.
5. Čvrstoća i stabilnost
Uz pravilno postavljanje, bele plombe pružaju dugotrajnu zaštitu zuba.

Kako Produžiti Trajnost Belih Plombi?
Trajnost belih plombi u velikoj meri zavisi od načina na koji ih održavate. Evo nekoliko saveta za produženje njihovog veka trajanja:
1. Redovna oralna higijena
Perite zube najmanje dva puta dnevno pastom sa fluorom i koristite zubni konac kako biste uklonili ostatke hrane između zuba.
2. Izbegavajte tvrdu i lepljivu hranu
Grickanje tvrde hrane, poput leda, bombona ili orašastih plodova, može oštetiti plombu.
3. Nosite noćni štitnik
Ako škripite zubima tokom spavanja, noćni štitnik može sprečiti oštećenje plombe i zuba.
4. Redovne posete stomatologu
Redovni pregledi omogućavaju stomatologu da na vreme uoči i popravi eventualne probleme sa plombom.
5. Izbegavajte obojena pića
Kafa, čaj i crno vino mogu promeniti boju bele plombe. Ako ih konzumirate, koristite slamčicu i perite zube nakon konzumacije.
Proces Postavljanja Belih Plombi
Postavljanje belih plombi u našoj stomatološkoj ordinaciji uključuje sledeće korake:
1. Pregled i dijagnoza
Stomatolog procenjuje stanje zuba i veličinu oštećenja kako bi odabrao odgovarajući tretman.
2. Priprema zuba
Oštećeni deo zuba uklanja se, a zub se priprema za postavljanje plombe.
3. Nanošenje kompozitnog materijala
Kompozitni materijal se nanosi u slojevima i stvrdnjava specijalnim svetlom.
4. Oblikovanje i poliranje
Kada je plomba postavljena, stomatolog je oblikuje i polira kako bi savršeno odgovarala vašem zubu.
Moguće Komplikacije sa Belim Plombama
Iako su bele plombe pouzdane i sigurne, mogu se javiti određene komplikacije:
- Ispadanje plombe: Usled prekomernog opterećenja ili oštećenja zuba.
- Osetljivost zuba: Privremena osetljivost nakon postavljanja plombe.
- Promena boje: Bele plombe mogu vremenom promeniti boju zbog konzumacije obojenih pića ili pušenja.
Ako primetite bilo koji od ovih problema, obavezno se obratite stomatologu.
Koliko Koštaju Bele Plombe?
Cena belih plombi zavisi od veličine oštećenja zuba. Naša stomatološka ordinacija nudi visokokvalitetne bele plombe po pristupačnim cenama.
Često Postavljana Pitanja o Belim Plombama
1. Da li su bele plombe bolje od amalgamskih?
Bele plombe pružaju bolju estetiku i bezbednost, ali su nešto manje otporne na habanje u odnosu na amalgamske plombe.
2. Koliko traje postupak postavljanja bele plombe?
Postavljanje bele plombe obično traje između 30 minuta i jednog sata, u zavisnosti od složenosti slučaja.
3. Da li je postupak bolan?
Procedura se obavlja pod lokalnom anestezijom, tako da je potpuno bezbolna.
4. Kako prepoznati da li je plomba oštećena?
Ako primetite bol, osetljivost ili pukotinu na zubu, moguće je da je plomba oštećena i da je potrebno posetiti stomatologa.
Zašto Odabrati Našu Stomatološku Ordinaciju ?
Naša ordinacija nudi vrhunski kvalitet usluga i dugogodišnje iskustvo u postavljanju belih plombi. Evo zašto nas pacijenti biraju:
- Iskusni stomatolozi: Naš tim je obučen za sve vrste restauracija zuba.
- Savremena tehnologija: Koristimo najnovije materijale i tehnike.
- Pristupačne cene: Kvalitetne usluge po povoljnim cenama.
- Individualni pristup: Svakom pacijentu pristupamo sa pažnjom i posvećenošću.
Bele plombe su idealno rešenje za estetsku i funkcionalnu restauraciju zuba. Uz pravilno održavanje i redovne posete stomatologu, mogu trajati godinama i očuvati vaš osmeh. Ako tražite kvalitetne bele plombe u Beogradu, kontaktirajte nas i zakažite pregled. Naš stručni tim će vam pomoći da sačuvate zdrav i blistav osmeh!
