Bezmetalne krunice postale su jedan od najtraženijih tretmana u modernoj stomatologiji zahvaljujući svojoj estetici, trajnosti i biokompatibilnosti. Ako razmišljate o tome kako da poboljšate izgled i funkcionalnost vaših zuba, bezmetalne krunice su idealno rešenje. U ovom tekstu ćemo objasniti šta su bezmetalne krunice, kako se izrađuju, koje su njihove prednosti, i zašto su toliko popularne u stomatološkim ordinacijama.
Šta su Bezmetalne Krunice?
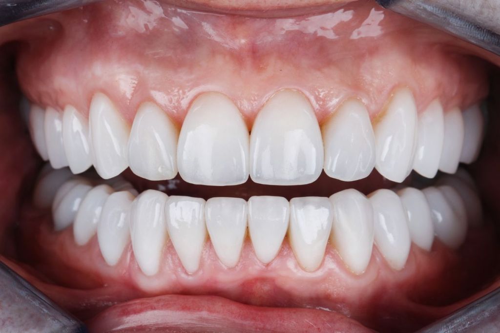
Bezmetalne krunice su zubne nadoknade koje se koriste za obnavljanje oštećenih, polomljenih ili estetski neprihvatljivih zuba. Za razliku od klasičnih metalokeramičkih krunica, bezmetalne krunice su u potpunosti izrađene od keramike ili cirkonijuma, bez unutrašnje metalne osnove.
Materijali koji se koriste:
- Cirkonijum: Izuzetno jak i izdržljiv materijal koji se koristi za zadnje zube i mostove zbog svoje čvrstoće.
- E-max keramika: Visokokvalitetna keramika koja pruža vrhunsku estetiku i koristi se za prednje zube.
Ovi materijali omogućavaju prirodan izgled zuba, savršeno imitirajući boju, transparentnost i teksturu prirodne gleđi.

Kada se Koriste Bezmetalne Krunice?
Bezmetalne krunice su idealno rešenje za širok spektar stomatoloških problema, uključujući:
- Oštećene ili polomljene zube: Kada je prirodna struktura zuba značajno oštećena.
- Estetske korekcije: Za zube sa diskoloracijama, nepravilnostima u obliku ili veličini.
- Nakon endodontskog lečenja: Zubi tretirani lečenjem kanala često zahtevaju dodatnu zaštitu.
- Nadoknada zuba implantatima: Bezmetalne krunice se često koriste za restauraciju zuba postavljenih na implantate.
- Zubni mostovi: Za spajanje više krunica u cilju zamene nedostajućih zuba.
Prednosti Bezmetalnih Krunica
Bezmetalne krunice imaju brojne prednosti koje ih čine superiornim izborom u odnosu na tradicionalne metalokeramičke krunice.
1. Vrhunska estetika
Bezmetalne krunice pružaju prirodan izgled jer nemaju tamnu metalnu osnovu koja može narušiti estetiku. Transparentnost keramike i cirkonijuma omogućava da krunica izgleda identično prirodnom zubu.
2. Biokompatibilnost
Ove krunice su idealne za pacijente sa alergijama na metale, jer su napravljene od potpuno biokompatibilnih materijala koji ne izazivaju reakcije.
3. Dugotrajnost
Cirkonijum i visokokvalitetna keramika su izuzetno izdržljivi materijali, otporni na habanje i lomljenje, što bezmetalne krunice čini dugoročnim rešenjem.
4. Očuvanje zdravlja desni
Za razliku od metalokeramičkih krunica, bezmetalne krunice ne izazivaju iritaciju desni. Njihova glatka površina smanjuje nakupljanje plaka i doprinosi boljoj oralnoj higijeni.
5. Nema tamne ivice
Kod metalokeramičkih krunica često se pojavljuje tamna linija duž ivice desni, dok bezmetalne krunice ne izazivaju ovaj estetski problem.
6. Lagana struktura
Bezmetalne krunice su lakše od metalokeramičkih, što ih čini udobnijim za nošenje, naročito kod velikih mostova.
7. Prilagodljivost boji zuba
Bezmetalne krunice se izrađuju tako da savršeno odgovaraju boji prirodnih zuba, omogućavajući besprekornu integraciju u osmeh.
Proces Izrade Bezmetalnih Krunica
Izrada bezmetalnih krunica u našoj stomatološkoj ordinaciji uključuje sledeće korake:
1. Pregled i planiranje
Stomatolog vrši detaljan pregled zuba i desni kako bi procenio vaše stanje i utvrdio da li ste kandidat za bezmetalne krunice.
Oštećeni zub se priprema brušenjem kako bi se stvorio prostor za postavljanje krunice.
2. Priprema zuba
3. Uzimanje otisaka
Uzimaju se precizni otisci zuba uz digitalni skener za stvaranje 3D modela.

4. Izrada krunice
Na osnovu otisaka ili digitalnog modela, tehničari u laboratoriji izrađuju krunicu od keramike ili cirkonijuma.
5. Proba i cementiranje
Krunica se postavlja na zub kako bi se proverila veličina, oblik i boja, a zatim se trajno cementira.
Koliko Traju Bezmetalne Krunice?
Uz pravilnu negu i redovne posete stomatologu, bezmetalne krunice mogu trajati između oko 10 godina, a često i duže. Trajnost zavisi od:
- Pravilne oralne higijene.
- Izbegavanja tvrdih ili lepljivih namirnica.
- Redovnih kontrola u stomatološkoj ordinaciji.

Cena Bezmetalnih Krunica
Cena bezmetalnih krunica je od 220 do 250 eura, varira u zavisnosti od materijala. Naša stomatološka ordinacija nudi konkurentne cene, a moguće je i plaćanje na rate, što ovu uslugu čini dostupnom za širi krug pacijenata.
Često Postavljana Pitanja o Bezmetalnim Krunicama
1. Da li su bezmetalne krunice bolje od metalokeramičkih?
Bezmetalne krunice pružaju superiornu estetiku, veću biokompatibilnost i udobnost, što ih čini idealnim izborom za prednje zube i pacijente sa alergijama.
2. Da li je postupak postavljanja bezbolan?
Da, postupak se obavlja pod lokalnom anestezijom, tako da je potpuno bezbolan.
3. Koliko je vremena potrebno za izradu bezmetalnih krunica?
Obično je potrebno 7–10 dana za izradu krunica, ali uz digitalnu tehnologiju moguće je završiti tretman i u kraćem roku.
4. Da li bezmetalne krunice mogu pucati?
Iako su vrlo čvrste, bezmetalne krunice mogu se oštetiti ako se prekomerno opterećuju. Izbegavajte grickanje tvrdih predmeta poput leda ili orašastih plodova.
Zašto Odabrati Našu Stomatološku Ordinaciju za Bezmetalne Krunice?
Naša stomatološka ordinacija nudi vrhunske usluge izrade i postavljanja bezmetalnih krunica. Evo zašto nas pacijenti biraju:
- Iskusan tim stomatologa sa dugogodišnjim iskustvom u estetskoj stomatologiji.
- Savremena oprema i tehnologija za preciznu izradu krunica.
- Prilagođeni plan lečenja za svakog pacijenta.
- Pristupačne cene i mogućnost plaćanja na rate.
- Prijatan ambijent i bezbolni tretmani, koji čine vašu posetu ugodnom.
Bezmetalne krunice predstavljaju savršeno rešenje za pacijente koji žele da obnove funkcionalnost svojih zuba uz vrhunski estetski rezultat. Ako tražite stomatološku ordinaciju u Beogradu za profesionalnu izraduu bezmetalnih krunica, kontaktirajte nas već danas. Naš tim stručnjaka pomoći će vam da postignete osmeh koji ste oduvek želeli, uz dugotrajnu kvalitetu i besprekoran izgled!
